درمان آرتروز زانو و مفاصل با روش سلول های بنیادی مزانشیمال(دکتر کامرانی)

سلول درمانی زانو، یکی از شیوه های نوین و پیشرفته درمان آسیب های زانو است که در کلینیک دکتر کامرانی ارائه می شود. این روش درمانی غیرتهاجمی، از سلول های بنیادی برای بازسازی و ترمیم بافت های آسیب دیده در ناحیه زانو استفاده می کند.

سلول بنیادی درمان ارتروز زانو

فرآیند سلول درمانی زانو به این صورت است که ابتدا سلول های بنیادی از بدن بیمار گرفته می شوند، معمولا از مغز استخوان یا بافت چربی. سپس این سلول ها در محیط آزمایشگاهی کنترل شده، تکثیر و غنی سازی می شوند. پس از آن، این سلول های غنی شده با تزریق دقیق به محل آسیب در زانو منتقل می گردند.

من 1 سالی بود میخواستم عمل جراحی انجام بدهم منتها بدلیل مشکلات عمل جراحی عمل بدون جراحی رو  ترجیح میدم با تحقیق از دوستانو فضای مجازی کلینیک شما رو انتخاب کردیم.

چندین ماه حتی نمی تونستم راه برم حدود 4 ماهه تزریق سلول بنیادی انجام دادم خدارو شکر راحت راه میریم و حتی سرویس بهداشتی هم خودم میرم.

سلول های بنیادی توانایی تبدیل شدن به انواع سلول های بدن از جمله سلول های غضروف، تاندون، رباط و استخوان را دارند. بنابراین، آنها قادرند بافت های آسیب دیده در زانو را ترمیم و بازسازی کنند. این روش برای درمان شرایطی مانند آرتروز زانو، آسیب های غضروفی، پارگی رباط ها و تاندون ها کاربرد دارد.

مزایای عمده سلول درمانی زانو نسبت به جراحی شامل موارد زیر است:

  • روش غیرتهاجمی و بدون نیاز به بیهوشی عمومی
  • ریسک و عوارض کمتر در مقایسه با جراحی
  • درد و ناراحتی کمتر برای بیمار
  • زمان بازتوانی و نقاهت کوتاه تر
  • احتمال بهبود طولانی مدت و پایدارتر

البته سلول درمانی زانو برای تمام بیماران مناسب نیست و متخصصین کلینیک دکتر کامرانی بر اساس شرایط و وضعیت هر بیمار، بهترین گزینه درمانی را پیشنهاد می دهند. در کل، این روش یک گزینه امیدبخش و انقلابی در پیشگیری و درمان آسیب های زانو محسوب می شود.

اقای نجف زاده هستم من زانوی سمت راستم ساییدگی داشت و ارتروز داشتم اومدم تزریق سلول بنیادی انجام دادم، از فرداش خوب شدم قبلش با عصا راه میرفتم اما بعد از سلول درمانی خوب شدم و از شما راضی هستم.

آرتروز زانو چیست و چه علامت هایی دارد ؟

آرتروز یک بیماری تخریبی مفصلی است که با از دست رفتن تدریجی غضروف مفصل همراه است. غضروف یک بافت نرم و لغزنده است که انتهای استخوان‌های مفصل را می‌پوشاند و به حرکت راحت و بدون درد مفاصل کمک می‌کند. در آرتروز، این غضروف تحلیل رفته و باعث می‌شود استخوان‌ها در برابر هم قرار گیرند که منجر به درد، تورم و محدودیت حرکت در مفصل می‌شود.

علائم اصلی آرتروز عبارتند از:

  • درد مفصل که معمولا با حرکت بدتر می‌شود
  • سفتی مفصل بعد از دوره‌های استراحت یا در صبح‌ها
  • كرختی یا قفل شدگی موقتی مفصل
  • تورم در ناحیه مفصل
  • محدودیت در دامنه حرکتی مفصل

مفاصلی که بیشتر دچار آرتروز می‌شوند شامل زانو، لگن، کتف، آرنج و انگشتان دست هستند. علل آرتروز شامل سن، آسیب‌های قبلی مفصل، اضافه وزن، ژنتیک و برخی بیماری‌های زمینه‌ای است.

بیشتر بخوانید : سلول درمانی دیسک کمر چگونه انجام میشود ؟

علت آرتروز زانو و نحوده درمان آن

آرتروز یا همان استئوآرتریت یک بیماری تخریبی مفصلی است که در آن غضروف محافظ انتهای استخوان‌ها تحلیل می‌رود. عواملی چون افزایش سن، آسیب‌های قبلی مفصل، اضافه وزن، ژنتیک، شغل و فعالیت‌های فشارزا بر مفاصل، و برخی بیماری‌های زمینه‌ای می‌توانند خطر ابتلا به آرتروز را افزایش دهند. در این بیماری، غضروف مفصلی از بین رفته و باعث می‌شود استخوان‌ها در مقابل یکدیگر قرار گیرند که منجر به علائمی مانند درد، تورم، سفتی و محدودیت دامنه حرکتی در مفصل می‌شود.

درمان آرتروز معمولا شامل استفاده از داروهای ضددرد و ضدالتهاب، تزریق‌های کورتون یا هیالورونیک اسید داخل مفصل، فیزیوتراپی، کاهش وزن و در موارد شدیدتر جراحی‌های آرتروسکوپی یا آرتروپلاستی (تعویض کامل مفصل) می‌باشد. اما امروزه یک روش نوین و امیدوارکننده برای درمان آرتروز مطرح شده است: سلول‌درمانی با استفاده از سلول‌های بنیادی مزانشیمال.

این سلول‌ها که از مغز استخوان، بافت چربی یا بند ناف گرفته می‌شوند، توانایی تبدیل شدن به سلول‌های غضروفی را دارند. بنابراین با تزریق داخل مفصلی آنها، امکان بازسازی غضروف آسیب‌دیده و کنترل التهاب مفصل فراهم می‌شود. مطالعات نشان داده سلول‌درمانی مزانشیمال می‌تواند درد را کاهش داده، دامنه حرکتی مفصل را بهبود بخشیده و از پیشرفت آرتروز جلوگیری کند. به همین دلیل به عنوان یک درمان امیدبخش و نوید بخش برای آرتروز محسوب می‌شود.

بیشتر بخوانید : سلول درمانی آرنج و مچ دست چگونه است ؟

تعریف سلول های بنیادی و انواع آن

سلول‌های بنیادی، سلول‌های تمایز نیافته‌ای هستند که قابلیت تقسیم مجدد و تبدیل شدن به انواع سلول‌های متخصص بدن مانند سلول‌های عضله، استخوان، غضروف، چربی و غیره را دارند. آنها دو ویژگی کلیدی دارند: 1) خود‌تجدیدپذیری (self-renewal) یعنی توانایی تقسیم و تولید نسخه‌های جدید از خودشان و 2) توانایی تمایز (differentiation) به انواع رده‌های سلولی متخصص.

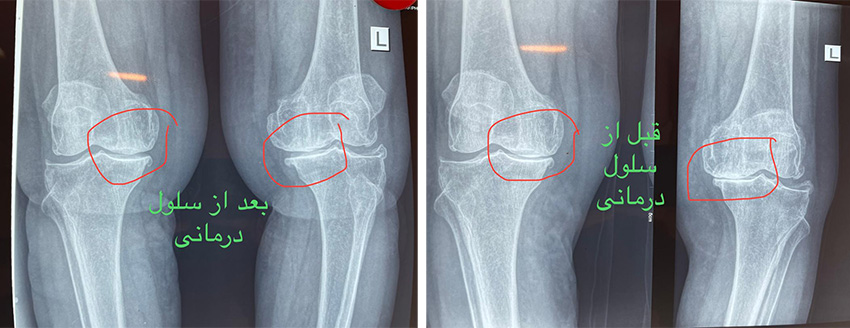
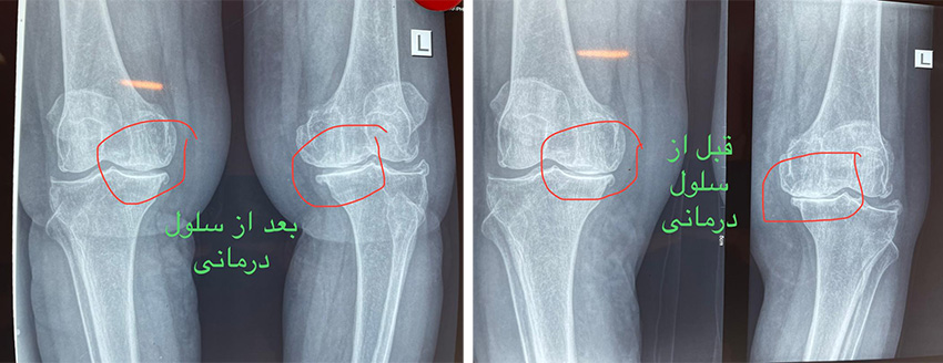
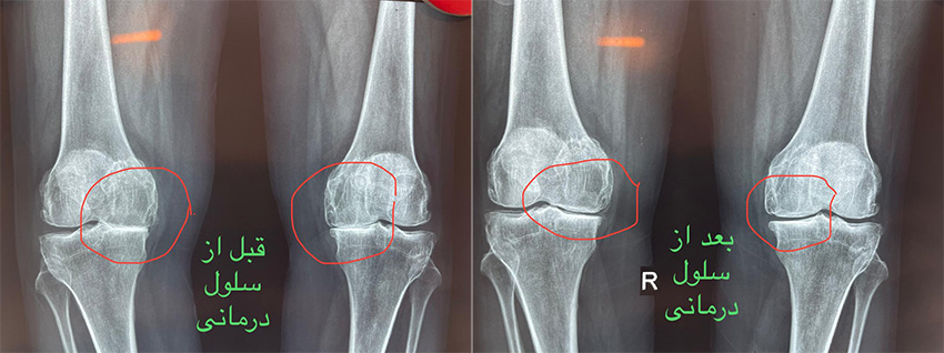
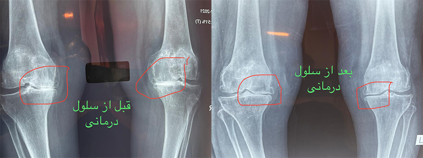
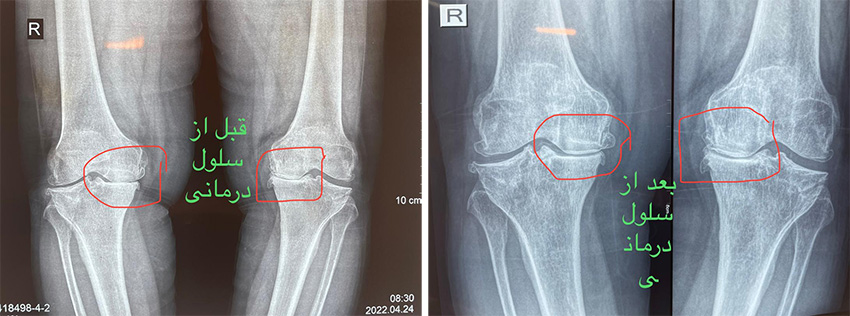
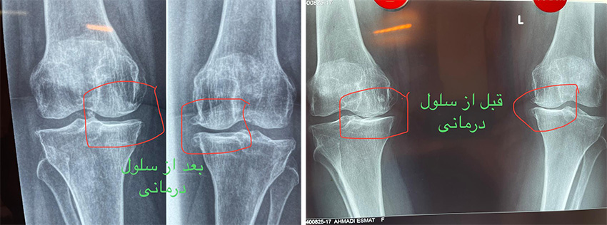
سلول درمانی زانو قبل و بعد

انواع اصلی سلول‌های بنیادی عبارتند از:

  1. سلول‌های بنیادی جنینی که از سلول‌های توده درونی جنین چند روزه انسان گرفته می‌شوند و توانایی تمایز به تمام انواع سلول‌های بدن را دارند.
  2. سلول‌های بنیادی بالغ یا بالغین که از بافت‌ها و اندام‌های بدن بزرگسالان به دست می‌آیند مانند مغز استخوان، چربی، پیوند بند ناف و غیره. این سلول‌ها تخصص‌یافته‌تر هستند.
  3. سلول‌های بنیادی پرتوان شده یا تراریخته که با مهندسی ژنتیک و افزودن ژن‌های خاص برای افزایش پتانسیل تمایز ایجاد می‌شوند.

در لینک داده شده، صحبت از سلول‌های بنیادی مزانشیمال است که نوعی سلول بنیادی بالغ هستند و از مغز استخوان، بافت چربی یا بند ناف گرفته می‌شوند. این سلول‌ها قابلیت تبدیل به سلول‌های مختلف از جمله سلول‌های غضروفی را دارند.

بیشتر بخوانید : همه چیز در خصوص فوق تخصص زانو

مکانیسم‌های سلول‌درمانی مزانشیمال در آرتروز

سلول‌های بنیادی مزانشیمال از چند مکانیسم اصلی برای درمان آرتروز بهره می‌برند:

  1. جایگزینی و ترمیم غضروف آسیب‌دیده
    سلول‌های بنیادی مزانشیمال توانایی تمایز به کندروسیت‌ها یا سلول‌های سازنده غضروف را دارند. بنابراین می‌توانند به طور مستقیم در جایگزینی و بازسازی غضروف تخریب شده در مفاصل آرتروزی نقش داشته باشند.
  2. اثرات ضدالتهابی و آنتی-کاتابولیک
    سلول‌های بنیادی مزانشیمال ترشح مولکول‌های ضدالتهابی مانند اینترلوکین‌10 و مهارکننده‌های آنزیم‌های تخریب‌کننده ماتریکس را افزایش می‌دهند. این امر باعث کاهش التهاب مزمن و فرآیندهای تخریبی در مفاصل آرتروزی می‌شود.
  3. تحریک ترشح فاکتورهای رشد و بازسازی
    این سلول‌ها می‌توانند سنتز و ترشح انواع فاکتورهای رشد مانند فاکتور رشد اندوتلیال عروقی (VEGF) و فاکتورهای رشد شبه انسولین (IGFs) را تحریک کنند که به بازسازی و ترمیم بافت غضروفی کمک می‌کنند.
  4. اثرات ضدآپوپتوزی (ضد مرگ سلولی)
    سلول‌های بنیادی مزانشیمال می‌توانند از مرگ سلولی کندروسیت‌ها که یکی از علل اصلی تخریب غضروف در آرتروز است، جلوگیری کنند.
  5. ایمونومدولاتوری (تعدیل سیستم ایمنی)
    این سلول‌ها دارای خواص تعدیل‌کنندگی سیستم ایمنی بدن هستند که می‌تواند از التهاب مزمن ناشی از فعالیت بیش از حد سیستم ایمنی در بیماری آرتروز بکاهد.

در مجموع، این مکانیسم‌های متعدد سلول‌های بنیادی مزانشیمال هم در جلوگیری از تخریب بیشتر غضروف و هم در بازسازی غضروف آسیب دیده نقش دارند و به همین دلیل به عنوان یک روش درمانی امیدبخش برای آرتروز مطرح شده‌اند.

سلول بنیادی زانو

روش‌های کلینیکی سلول‌درمانی مزانشیمال در آرتروز

1.1 تزریق داخل مفصلی سلول‌ها
این شایع‌ترین روش است که در آن سلول‌های بنیادی مزانشیمال به صورت مستقیم به داخل مفصل آسیب‌دیده تزریق می‌شوند. هدف این است که سلول‌ها در محل آسیب غضروف جای گرفته و به ترمیم و بازسازی آن کمک کنند. این روش برای مفاصلی مانند زانو، لگن، شانه و آرنج استفاده می‌شود.

1.2 درمان سیستمیک یا خون‌محور
در این روش، سلول‌های بنیادی از طریق تزریق وریدی یا دیگر روش‌های سیستمیک به جریان خون بدن وارد می‌شوند. سلول‌ها سپس به مناطق آسیب‌دیده سفر کرده و با آزاد کردن فاکتورهای ترمیمی به بهبود کمک می‌کنند. این روش بیشتر برای درمان چندین ناحیه آسیب‌دیده یا موارد آرتروز گسترده مورد استفاده قرار می‌گیرد.

1.3 استفاده از اسکافولدها و مهندسی بافت
در این رویکرد، سلول‌های بنیادی مزانشیمال روی داربست‌های زیستی یا اسکافولدهای سه‌بعدی کشت داده می‌شوند تا به غضروف مصنوعی تبدیل شوند. سپس این اسکافولد حاوی سلول‌ها در جای غضروف آسیب‌دیده قرار می‌گیرد. این روش به خصوص برای آسیب‌های گسترده غضروفی کاربرد دارد.

هر یک از این روش‌ها مزایا و معایب خاص خود را دارند و انتخاب آنها بر اساس شرایط بیمار، میزان و محل آسیب غضروف و تجربه متخصص صورت می‌گیرد. ترکیب این رویکردها نیز ممکن است در برخی موارد مورد استفاده قرار گیرد.

سلول بنیادی در زانو

مطالعات موفق سلول‌درمانی آرتروز زانو

بر اساس اطلاعات موجود در لینک، در مورد کارآزمایی های بالینی و شواهد موجود برای سلول درمانی آرتروز با سلول های بنیادی مزانشیمال می توان موارد زیر را بیان کرد:

2.1 مطالعات موفق سلول درمانی آرتروز زانو
چندین مطالعه و کارآزمایی بالینی نشان داده اند که تزریق داخل مفصلی سلول های بنیادی مزانشیمال می تواند در بهبود عملکرد و کاهش درد در بیماران مبتلا به آرتروز زانو موثر باشد. برخی نتایج شامل بهبود نمرات درد، افزایش محدوده حرکتی مفصل و بازسازی قسمتی از غضروف آسیب دیده بوده است.

2.2 نتایج امیدبخش در درمان آرتروز لگن و شانه
علاوه بر زانو، سلول درمانی مزانشیمال در درمان آرتروز مفاصل بزرگ دیگر مانند لگن و شانه نیز نتایج امیدوارکننده ای داشته است. گزارشات نشان می دهد این روش می تواند به کاهش درد، بهبود عملکرد و افزایش کیفیت زندگی در بیماران مبتلا به آرتروز لگن و شانه کمک کند.

2.3 چالش ها و محدودیت های فعلی
با وجود نتایج مثبت، هنوز چالش ها و محدودیت هایی در مورد سلول درمانی آرتروز وجود دارد:

  • نیاز به مطالعات بزرگتر و طولانی مدت تر برای ارزیابی ایمنی و اثربخشی بلندمدت.
  • عدم وجود استانداردهای واحد برای روش استخراج، پردازش و تزریق سلول ها.
  • هزینه های بالای این روش درمانی نوین که ممکن است دسترسی را محدود کند.
  • محدودیت ها در استفاده از این روش در موارد پیشرفته آرتروز با تخریب شدید غضروف.
  • نیاز به تحقیقات بیشتر برای یافتن بهترین زمان و نحوه درمان.

در کل، سلول درمانی مزانشیمال یک روش امیدوارکننده و نوید بخش برای درمان آرتروز محسوب می شود، اما هنوز نیاز به مطالعات گسترده تر برای رفع چالش ها و بهینه سازی این روش وجود دارد.

درمان ارتروز زانو

هزینه سلول بنیادی زانو چقدر است ؟

هزینه سلول درمانی یا استفاده از سلول های بنیادی برای درمان بیماری ها معمولا بالاتر از روش های درمانی سنتی است. این هزینه بالا می تواند ناشی از چندین عامل باشد:

  1. فرایند استخراج، پردازش و کشت سلول های بنیادی که نیاز به آزمایشگاه های تخصصی و تجهیزات پیشرفته دارد.
  2. هزینه های تحقیقاتی و توسعه فناوری برای استفاده بالینی از سلول های بنیادی که هنوز یک روش نوین محسوب می شود.
  3. تعداد کم مراکز و متخصصان آموزش دیده در زمینه سلول درمانی که باعث کمبود عرضه در برابر تقاضا می شود.
  4. هزینه های مربوط به مراقبت های ویژه بعد از تزریق سلول ها و پیگیری های لازم.

با این حال، هزینه دقیق متغیر است و بسته به مرکز درمانی، کشور، منبع و تکنیک استخراج سلول ها و شرایط بیمار می تواند متفاوت باشد. بعضی تحقیقات نشان می دهند که هزینه تزریق سلول های بنیادی در یک مفصل می تواند از 5.000.000 تومان تا بیش از 25.000.000تومان متغیر باشد.

سوالاتی که بیماران درسامانه پشتیبانی آنلاین در خصوص سلول بنیادی پرسیده اند

  1. مادر من 64 سال سن دارن برای آرتروز زانو چند بار ژل هیارونیک اسید و prp انجام دادن ولی نتیجه بخش نبوده و برای مدت 2ماه درد کم میشده پیشنهاد شما برای یک درمان ترمیمی برای زنو چی هست ؟؟ خیلی ممنون

    روش درمانی ژل و پی آر پی صرفا مسکن هستن و اگر برای بیمار نتیجه بخش باشد فقط درد را برای مدتی متوقف می کنند اما روش سلول درمانی علاوه بر بهبود درد و التهاب . غضروف مفاصل تحلیل رفته را بازسازی و ترمیم می کند.

  2. مادر من ۷۲ ساله هستند هردو زانو دچار ارتروز می‌باشد سال گذشته تزریق ازون و pep انجام دادند با ۱۰ جلسه فیزیوتراپی ‌لیزر ولی متاسفانه هیچ بهبودی کسب نکردن آیا با سلول بنیادی درمان میشوند؟

    بله . درمان می شوند چون سلولهای بنیادی ، علاوه بر کاهش التهاب و درد بیمار ، غضروف تحلیل رفته ی مفاصل زانو را بازسازی و ترمیم می کنند یعنی سلول درمانی برخلاف اوزون تراپی و تزریق پی آر پی که فقط درد بیمار را برای مدت کوتاهی تسکین می دهد ، جنبه ی درمانی دارد.

  3. من پدرم نیاز به عمل تعویض مفضل زانو دارد .میخاستم بدونم ایا با سول درمانی میشه مشکلش رو حل کرد؟

    سلام .بله . روش سلول درمانی با ترمیم و بازسازی غضروف مفصل زانو تا حد زیادی عمل تعویض مفصل را به تعویق می اندازد و در مقایسه با عمل جراحی . کم هزینه تر . دوره نقاهت کمتر. درد کمتر و بدون نیاز به بیهوشی است.

  4. این روش برای چه مرحله ای از آرتروز تاثیر گذار است؟

    این روش درمانی به بازسازی و ترمیم غضروف آسیب دیده و کنترل التهاب مفصل کمک می کند و بسته به تشخیص پزشک برای هر مرحله ای از آرتروز موثر است.

  5. سلام ببخشید سلول درمانی با پی آرپی فرق میکنه؟؟

    سلام. بله . فرق دارند.در سلول درمانی ، سلول های بنیادی تزریق می شود ولی در پی آر پی ، پلاسمای استخراج شده از خون خود بیمار تزریق می شود. تزریق پی آر پی فقط جنبه ی مسکن و کاهش درد دارد و کمکی به بازسازی و ترمیم بافت آسیب دیده نمی کند اما روش سلول درمانی علاوه بر کاهش التهاب و درد، به بازسازی و ترمیم ناحیه آسیب دیده کمک بسیاری می کند.

  6. بنده ۴۰ سال سن دارم و حدود ۱ سال است که دچار زانو درد و پوکی استخوان شدید هستم. به طوری که قادر به انجام فعالیت های روزمره حتی بالا رفتن از پله ها هم دچار مشکل هستم و فیزیوتراپی هم انجام دادم کشور نشد.انواع داروهای ضد التهاب و غضروف ساز هم امتحان کردم نشد. ام آر آی ، آزمون تراکم استخوان، اورولوژی از زانو هایم را هم در آذر ماه سال گذشته گرفتم.به چندتا دکتر کاکرو مراجعه کردم.هرکدام یک حرفی بهم زدند و متاسفانه درمان نشدم.خواستم ببینم درمان از طریق سلول های بنیادی می تواند مشکل بنده را حل کند؟

    سلام. همه ی مدارک پزشکی خود را روز ویزیت همراه خود بیاورید ، پس از بررسی مشکل شما ، در صورت تشخیص پزشک ، سلول درمانی برایتان انجام خواهد شد.

  7. خانم من مشکل ساییدگی زانو داره،همچنین مینیسک پا هم آسیب دیده،سلول درمانی براش کاربرد داره؟؟

    سلام. بله . تزریق سلولهای بنیادی غضروف تحلیل رفته مفصل زانوی بیمار شما را بازسازی و ترمیم می کند . تزریق پی آر پی فقط جنبه ی مسکن و کاهش درد را دارد و کمکی به بهبود وضعیت غضروف آسیب دیده زانو نمی کند و با تزریق سلولهای بنیادی فرق دارد.

  8. سلام وقت تون بخیر عذر میخوام من 44 سال سن دارم و هر در هر دو زانو احساس درد دارم ، به دکتر مراجعه کردم گفتند ساییدگی مفصل داری میخواستم بپرسم با تزریق سلول بنیادی امکان ترمیم هست؟ بعد چقدر هزینه داره؟

    سلام. بله . سلول درمانی روشی برای ترمیم و بازسازی غضروف تحلیل رفته بین مفاصل هست

  9. زانوی پای مادرم طبق دکتر ارتوپد ساویدکی دارد آیا بدون عمل جراحی امکانش هست؟

    سلام. بله. روش سلول درمانی تا حد زیادی به بازسازی و ترمیم غضروف های ساییده شده مفاصل کمک می کند و نیاز به عمل جراحی را برطرف می کند.

  10. ارتروز خفیف زانو دارم باید چکار کنم بدتر نشه

    سلام. تزریق سلولهای بنیادی باعث بازسازی غصروف آسیب دیده زانوی شما می شود و با درمان آن از پیشرفت آرتروز زانوی شما جلوگیری می کند.

  11. سلام من ارتروز شدید زانو دارم بمن گفتن باید تعویض مفصل بشم میخواستم بدونم سلول های بنیادی میتونه ب من کمک کنه ک نیاز ب تعویض مفصل نباشه

    سلام. بله . تزریق سلول های بنیادی روشی درمانی ای که با بازسازی و ترمیم غضروف تحلیل رفته ی مفصل زانو شما ، نیاز شما به عمل جراحی تعویض مفصل را تا حد زیادی به تعویق می اندازد و یا برطرف می کند.

  12. خانمی 42ساله هستم سه سال است که درگیر مشکل ساییدگی مفصل زانو ،دوبارپی آر پی انجام دادم دو سال اولی راضی بودم ولی سری دوم نه،میخواستم ببینم روش سلولهای بنیادی بند ناف واسه من چطوره

    سلام. بله . تزریق سلولهای بنیادی غضروف تحلیل رفته مفصل زانوی بیمار شما را بازسازی و ترمیم می کند .

سوالات رایج پر تکرار

  1. سلول های بنیادی مزانشیمال چه نوع سلول هایی هستند؟

    سلول های بنیادی مزانشیمال نوعی سلول بنیادی بالغ هستند که از مغز استخوان، بافت چربی یا بند ناف گرفته می شوند و قابلیت تمایز به انواع سلول های بدن از جمله سلول های غضروفی را دارند.

  2. چرا از این سلول ها برای درمان آرتروز استفاده می شود؟

    سلول های بنیادی مزانشیمال می توانند به بازسازی غضروف آسیب دیده، کاهش التهاب و ترمیم آسیب در مفاصل آرتروزی کمک کنند.

  3. این روش برای درمان آرتروز کدام مفاصل مورد استفاده قرار می گیرد؟

    عمدتا برای آرتروز زانو، لگن و شانه از این درمان استفاده می شود اما می توان آن را برای مفاصل دیگر نیز به کار برد.

  4. چگونه این سلول ها را وارد بدن بیمار می کنند؟

    روش های مختلفی مانند تزریق داخل مفصلی، درمان سیستمیک (تزریق به جریان خون) و استفاده از اسکافولدها برای کاشت سلول ها وجود دارد.

  5. مزایای احتمالی این روش درمانی چیست؟

    کاهش درد، بهبود عملکرد مفصل، افزایش دامنه حرکتی، بازسازی قسمتی از غضروف آسیب دیده و جلوگیری از پیشرفت بیشتر آرتروز از مزایای احتمالی آن است.

  6. آیا محدودیت یا عوارضی هم دارد؟

    هزینه بالا، محدودیت در موارد پیشرفته، نیاز به مطالعات بیشتر و عدم استانداردهای واحد از جمله محدودیت های این روش به شمار می آیند.

مقالات مرتبط